Флоу-композити і їх роль у сучасному стоматологічному протоколі
Автор: Solventum (раніше 3M Health Care)
Зображення надане: Dr. Walter Devoto
У реставраційній стоматології лікарі стикаються з безліччю факторів, які впливають на вибір методу лікування. Тип реставрації, стан ротової порожнини пацієнта, його гігієнічні звички — усе це має значення. Крім того, стоматологи мають знайти баланс між довговічністю реставрації та естетикою, адаптуючи підхід до кожного клінічного випадку.
Останніми роками флоу-композити стали одним із найкращих варіантів для багатьох клінічних показань. Ці інноваційні матеріали відрізняються від традиційних реставраційних композитів своїми унікальними властивостями, що дозволяють ефективно вирішувати проблеми, пов’язані з карієсом або тріщинами. Важливо розуміти, як флоу-композити розроблені, щоб пропонувати нові підходи до відновного лікування, та які сучасні вдосконалення зробили їх ще зручнішими у використанні.

Зображення реставрації зуба текучим композитом Filtek™ Supreme Flowable Restorative
Особливості флоу-композитів
Флоу-композити на основі смоли мають менший вміст наповнювача та менш в’язкі мономери. Хоча їх можна використовувати разом із традиційними композитами, сучасні формули демонструють результати, що не поступаються класичним матеріалам. Це означає, що в багатьох випадках флоу-композити можна застосовувати для повної реставрації — без втрати якості.
Зазвичай вміст неорганічного наповнювача в композитах коливається від 37% до 53%. Різниця полягає переважно у його кількості, тоді як розмір частинок залишається приблизно однаковим. Водночас кожен матеріал має свої унікальні характеристики — тип, форму й геометрію наповнювача. Ці відмінності впливають на клінічні властивості композиту, надаючи лікарям можливість обирати матеріал відповідно до потреб пацієнта та власних уподобань.
Одним із ключових параметрів, що визначає довговічність реставрації, є міцність на стиск, яка залежить від кількості наповнювача. Однак не менш важливими залишаються його структура й форма, адже саме вони впливають на здатність матеріалу витримувати навантаження упродовж років.
Як уникнути порожнин: роль клінічної майстерності
Успіх реставрації залежить не лише від матеріалу, а й від навичок лікаря. Одним із потенційних ускладнень є утворення порожнин (повітряних включень) у композиті. Це може статися через неправильну техніку внесення матеріалу, коли повітря залишається всередині або матеріал розподіляється нерівномірно.
Невеликі порожнини можуть бути майже непомітними, але вони здатні впливати на рентгенологічну картину та естетику реставрації. Великі ж дефекти можуть призвести до тріщин, мікропротікань і знебарвлення по краях реставрації, що з часом потребуватиме повторного втручання.
Сучасні технології: крок уперед
Сучасні флоу-композити розроблені так, щоб мінімізувати ризик утворення порожнин, зокрема завдяки вдосконаленню конструкції шприців. Лікарі мають звертати увагу на матеріали, що забезпечують зручний доступ до ділянки реставрації та виключають потрапляння повітря.
Яскравим прикладом є Filtek™ Supreme Flowable Restorative від Solventum (раніше 3M Health Care).
Цей матеріал має оновлений шприц і спеціальну насадку, що дозволяє виходу повітря через вентиляційний отвір у поршні, завдяки чому у композиті практично не утворюються бульбашки.

Практично без бульбашок або «витікання» завдяки вдосконаленій конструкції шприца
Filtek™ Supreme Flowable Restorative відзначається чудовою здатністю до адаптації, високою зносостійкістю, відмінною поліровкою та природною естетикою — щоб ваші пацієнти могли впевнено посміхатися протягом багатьох років.
Важливість матеріалу і протоколу
Флоу-композити можуть бути надзвичайно ефективним інструментом у руках стоматолога, проте кінцевий результат залежить як від властивостей матеріалу, так і від техніки роботи. Вибір правильного матеріалу та уважне дотримання протоколу нанесення — запорука успішної та довговічної реставрації.
Чому обирають саме Filtek™ Supreme Flowable Restorative
-
Відмінна зносостійкість для довготривалих реставрацій.
-
Низька усадка, що зменшує навантаження на зубні структури.
-
Оптимальна текучість для точного внесення навіть у глибокі або вузькі порожнини.
Відгуки стоматологів:
“Чудова керованість і блискуча поліровка — виглядає бездоганно навіть через роки.”
“Ідеальна текучість для важкодоступних ділянок, чудово тримається з часом.”
Які можуть виникати проблеми в роботі з текучими композитами.
Автор: д-р Девід Кларк (Dr. David Clark, DDS)
Ми любимо флоу-композити за їхню легкість у використанні та чудове прилягання до поверхні зуба завдяки низькій в’язкості.
Але водночас негативно ставимося до них за постійну загрозу появи бульбашок під час внесення матеріалу шприцом.
Перші композити на основі смоли з’явилися у 1964 році завдяки компанії 3M. Їх сприймали як “замість амальгами”: матеріал, який потрібно було вносити пошарово, ущільнювати, формувати та полірувати — так само, як ми це робили з амальгамою.
У 1996 році на ринку з’явилися перші флоу-композити. Тоді ще ніхто точно не знав, як їх правильно використовувати, але одразу стало зрозуміло: у них є велика перевага — можливість ін’єкційного внесення, що забезпечує миттєве прилягання до структури зуба.
Саме тому флоу-композити вважають ідеальним матеріалом для точних мікроінвазивних реставрацій.
Проблема бульбашок
Найпоширеніша скарга лікарів щодо флоу-композитів — це бульбашки, які з’являються під час внесення матеріалу. Вони можуть бути надзвичайно складними для усунення. Через в’язкість смоли “лопнути” їх практично неможливо, і часто ми змушені просто намагатися витягнути їх назовні з порожнини.

Два різні текучі матеріали були нанесені шприцом на моделі зубів. Обидва зразки мають кілька бульбашок. Бульбашки у світлішому відтінку (праворуч) важче побачити.
На жаль, іноді ми помічаємо ці дефекти занадто пізно — коли вже зроблені рентгенівські знімки або коли реставрація змінила колір через забарвлення навколо залишеної бульбашки.
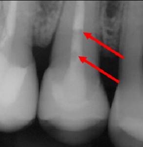
1. Бульбашки на рентгені
На контрольних знімках ендодонтично пролікованого зуба можна побачити дві виражені бульбашки.

Для лікаря це прикра ситуація, яку важко пояснити пацієнту — і, чесно кажучи, саме такі випадки доводять ендодонтистів до розпачу.
2. Плями і дефекти реставрації
Якщо бульбашка залишається на поверхні композиту, вона утворює заглиблення, де з часом накопичується пігмент.


Це призводить до появи темних плям і естетичних недоліків, що можуть стати причиною невдоволення пацієнта або навіть його переходу до іншого лікаря.
На щастя, нові рішення з'являються постійно. Я мав змогу оцінити оновлений дизайн шприця від Solventum (раніше 3M Helth Care) імушу сказати: це справжній прорив.
Ця інноваційна конструкція дає змогу зменшити кількість бульбашок під час внесення матеріалу та забеспечити стоматологу більше контролю над процесом реставрації
Рекомендовані матеріали від Solventum (раніше 3M Health Care)
3M™ Filtek™ Supreme Flowable Restorative
- Відмінна адаптація, чудова поліровка та зносостійкість
- Технологія TRUE наночастинок від 3M
- Підходить для реставрацій класів III і V (до 2 мм)
- Використовується як базовий або підкладковий шар
3M™ Filtek™ Bulk Fill Flowable Restorative
- Чудова адаптація і низька полімеризаційна усадка
- Ідеальний вибір як підкладка, лайнер, герметик
- Для реставрацій класів III і V (до 5 мм)
- Використовується як базовий або підкладковий шар
- Технологія нанонаповнювача TRUE забезпечує чудову зносостійкість та відмінну стійкість полірування.
- Капсули можна безпечно нагрівати до 70°C протягом однієї години.
• 3M™ Filtek™ Supreme Flowable Restorative


• 3M™ Filtek™ Bulk Fill Flowable Restorative
Просте виконання реставрацій бічної групи зубів Filtek™ Bulk Fill Flowable Restorative
Фото люб’язно надано Доктором Рейх, Зеефельд, Німеччина
.
Препарування зуба та внесення адгезиву 3M™ Single Bond™ Universal Adhesive.

Внесення матеріалу до 4 мм 3M™ Filtek™ Bulk Fill Flowable в підготовлену порожнину та полімеризація, наприклад 3M™ Elipar™ DeepCure-S LED

Перекриття 2 мм (мінімум) шаром естетичного композиту, наприклад 3M™ Filtek™ Universal та полімерізація.


Джерела:
1 Vouvoudi, E. C. (2022). Overviews on the progress of flowable dental polymeric composites: their composition, polymerization process, flowability and radiopacity aspects. Polymers, 14(19), 4182.
2 Mirică, I. C., Furtos, G., Bâldea, B., Lucaciu, O., Ilea, A., Moldovan, M., & Câmpian, R. S. (2020). Influence of filler loading on the mechanical properties of flowable resin composites. Materials, 13(6), 1477.
3 Körner, P., Gerber, S. C., Gantner, C., Hamza, B., Wegehaupt, F. J., Attin, T., & Deari, S. (2023). A laboratory pilot study on voids in flowable bulk-fill composite restorations in bovine Class-II and endodontic access cavities after sonic vibration. Scientific Reports, 13(1), 18557.
4 Nazari, A., Sadr, A., Saghiri, M. A., Campillo-Funollet, M., Hamba, H., Shimada, Y., ... & Sumi, Y. (2013). Non-destructive characterization of voids in six flowable composites using swept-source optical coherence tomography. Dental Materials, 29(3), 278-286.
