Клінічні дослідження на основі практики: універсальні композитні цементи вирішують більшість традиційних проблем

3M Health Care is now Solventum
2023 | Професор Тревор Берк
22 роки працював у загальній стоматологічній практиці в Манчестері, а також працював у відділі відновної стоматології в Університеті Манчестера. Він є професором первинної стоматологічної допомоги в Університеті Бірмінгема та почесним консультантом з реставраційної стоматології з 2000 року. Тревор є (спів)автором 370 статей у рецензованих журналах і трьох книг. Він отримав понад 80 наукових грантів. Його основні дослідницькі інтереси включають властивості та застосування реставраційних матеріалів із забарвленням зубів, а також застосування досліджень in vitro стоматологічних матеріалів у клінічній ситуації. У цьому відношенні він координує роботу групи PREP (дослідження та оцінка продукту практикуючими лікарями), заснованої в 1993 році, групи стоматологів, які проводять дослідження у своїй практиці. Ця група, яка зараз завершила понад 70 оцінок матеріалів і технік, наразі налічує 30 членів. Він також є редакційним директором журналу Dental Update. Його останнє дослідження включало опитування 10-мільйонного набору даних про реставрацію, який він допоміг створити, у якому реставрації спостерігалися протягом 16 років, що дозволило оцінити не лише виживання реставрації, але й виживання відреставрованого зуба, мабуть, більш важливого критерію. В університеті Тревор здебільшого проводить роботу в якості директора магістерського курсу з передової загальної стоматологічної практики.
Під час вибору нового стоматологічного матеріалу фахівці шукають доказову базу його ефективності. Для цього проводять дослідження in vitro або in vivo, однак найчастіше вони здійснюються в ідеалізованих умовах. Навіть клінічні дослідження мають обмеження, адже допускають лише пацієнтів, які відповідають певним критеріям – зазвичай це молоді та здорові люди. Тому отримані дані можуть бути обмежено застосовні до повсякденної стоматологічної практики.
Натомість клінічні дослідження на основі практики мають інший підхід: їх проводять незалежні стоматологи, які оцінюють маніпуляційні властивості або довготривалу клінічну ефективність матеріалу в реальних умовах без попереднього відбору пацієнтів. Такі оцінки є цінним джерелом інформації для стоматологів, які шукають продукт, що відповідає їхнім конкретним вимогам. У світі існує багато груп, що займаються такими дослідженнями, зокрема британська група PREP (Product Research and Evaluation by Practitioners), заснована у 1993 році. Вона об'єднує 30 стоматологів, які регулярно проводять оцінку нових продуктів.
ПРОЦЕДУРА ТЕСТУВАННЯ І ОЦІНКИ ПРОДУКТІВ
Перед початком дослідження всім учасникам PREP повідомляють про новий проєкт і пропонують приєднатися. Учасники відбираються випадковим чином і отримують анкету, інструкцію з використання продукту та тестовий набір із необхідними матеріалами. Після тестування протягом певного періоду учасники заповнюють анкету, створену координаторами PREP разом із виробником. Під час оцінки маніпуляційних властивостей збираються загальні дані, а також детальна інформація про властивості матеріалу й додаткові коментарі. На основі цих даних складається звіт.
МАНІПУЛЯЦІЙНІ ВЛАСТИВОСТІ АДГЕЗИВНИХ КОМПОЗИТНИХ ЦЕМЕНТІВ
Однією з категорій продуктів, що особливо цікавить дослідників, є адгезивні композитні цементи. Деякі стоматологи пам’ятають перші системи цементування, які складались із численних компонентів і вимагали травлення кислотою, ґрунтування та бондингу зуба, обробки реставраційного матеріалу й суворого контролю вологості. При правильному використанні матеріал був майже нероз’ємним – навіть надлишки було важко прибрати.
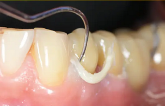
Новіші композитні цементи пропонують спрощені процедури, однак за результатами оцінки PREP наприкінці 2019 року ще залишався простір для вдосконалення. Учасники дослідження тестували нову систему: 3M™ RelyX™ Universal Resin Cement та адгезив 3M™ Scotchbond™ Universal Plus Adhesive. Цемент є універсальним, оскільки може застосовуватись як самостійно, так і в комбінації з адгезивом для підвищення сили зчеплення.

3M™ RelyX™ Universal Resin Cement в оновленому шприці з адгезивом 3M™ Scotchbond™ Universal Plus.
Протягом 10 тижнів 10 дослідників виконали 217 реставрацій: 76 – у самоклеючому режимі та 141 – з використанням адгезиву.

Анкета зосереджувалась на таких аспектах:
Система нанесення:
• Легкість видавлювання
• Простота у використанні
• Зручність кріплення змішувального наконечника
• Зручність кріплення подовжувача
Композитний цемент:
• Асортимент відтінків
• Естетичність
• В’язкість
• Простота прибирання надлишків
• Загальна задоволеність у самоклеючому та адгезивному режимах
• Ймовірність покупки за середньою ціною
• Рекомендація колегам
ЕФЕКТИВНІСТЬ ПРОДУКТУ
Результати показали високу задоволеність естетикою та відтінками RelyX Universal. В’язкість була визнана ідеальною, а використання шприца нового дизайну – простим. Легкість видалення матеріалу після короткого полімеризаційного циклу оцінили на 4,8 з 5. Дев’ятеро з десяти зазначили, що це було простіше або принаймні не складніше, ніж з іншими цементами.
Стоматологи високо оцінили продукт у обох режимах – самоклеючому та з адгезивом – і всі 100% учасників заявили про готовність рекомендувати його колегам.
Огляд найважливіших результатів.

Легке очищення надлишків

Менше пластикових відходів

Гігієнічність через самозакупорення для зберігання без насадки для замішування

Менше цементних відходів з мікронасадками для змішування та тоненька видовжена насадка для простішого внесення в канал кореня

Відмінні естетичні властивості з чотирма флуоресцентними відтінками зі стійким забарвленням

Найкращий продукт-переможець в 2023 році в галузі стоматології
Подібні результати були отримані й під час незалежної практичної оцінки в США, проведеної DENTAL ADVISOR. Після 425 реставрацій 12 стоматологів оцінили RelyX Universal на 99%. Вивчались: товщина плівки, в’язкість, робочий час, час затвердіння, простота видалення надлишків і рентгеноконтрастність
АДГЕЗИВНЕ ЦЕМЕНТУВАННЯ ПЕРЕСТАЛО БУТИ СКЛАДНИМ
Відмінні відгуки про нову систему бондингу та цементування із новим дизайном шприца, який зменшує відходи і самогерметизується та обертовим наконечником свідчать, що новий цемент подолав більшість проблем попередніх поколінь. Узгоджені результати з різних країн підтверджують, що продукт є надійним і підходить для широкого кола стоматологів.
Ці дослідження – лише частина зусиль PREP, DENTAL ADVISOR та інших організацій. Вони надають незалежну інформацію про нові матеріали, які можуть спростити щоденну практику.
Придбати універсальний композитний цемент 3M™ RelyX™ Universal Resin Cement та адгезив 3M™ Scotchbond™ Universal Plus можна в мережі магазинів компанії Укр-Медмаркет
