Раді вітати на офіційному сайті Групи Компаній Медмаркет. Ваш успіх – наш пріоритет. Обирайте Найсучасніші стоматологічні матеріали та обладнання для своєї практики!

Тест-драйв передніх реставрацій для досягнення естетичного результату

Клінічний випадок: д-р Джованні Моліна Луго, Мехіко


Вступ

Пацієнт звернувся зі скаргами на незадовільний вигляд реставрацій на 9 та 10 зубах, а також з бажанням покращити свою посмішку. Було ухвалено план лікування з видаленням 10-го зуба, негайною імплантацією та тимчасовою реставрацією.

Для тимчасової реставрації використовувався матеріал 3M™ Protemp™ 4, що забезпечував:

  • функціональність на етапі загоєння
  • формування майбутньої усмішки
  • адаптацію ясен після встановлення абатмента

 


Діагностика та планування

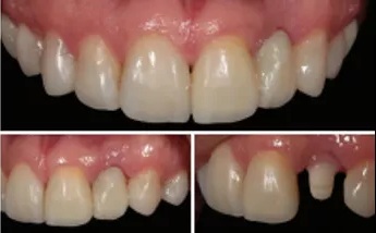
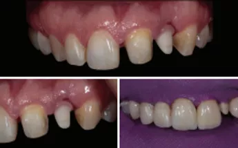
Мал. 1: Початкова клінічна ситуація – незадовільні реставрації та усмішка.
Мал. 2: КТ показує потребу в негайному встановленні імпланта на 10 зубі.
Мал. 3: Діагностичний восковий зліпок і лабораторна тимчасова коронка з Protemp™ 4
Мал. 4: Встановлення імпланта одразу після видалення зуба.
Мал. 5: Тимчасова коронка з Protemp™ 4 — негайна функція.
Мал. 6: Загоєні тканини через 3 місяці
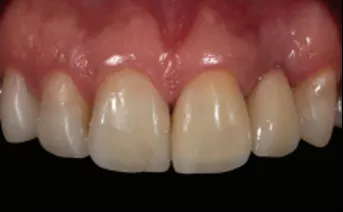
Мал. 7: Цифровий дизайн усмішки — рішення реставрувати всі передні зуби.
Мал. 8: Повний діагностичний восковий зліпок.
Мал. 9: Одноетапне зняття відбитку з Protemp™ Soft Monophase
Мал. 10: Тимчасовий макет передніх зубів.
Мал. 11: Модель знімних кукс для точності.
Мал. 12: Надтонкі склокерамічні вініри з лабораторії.
Мал. 13: Фіксація вінірів на 3M™ RelyX™ Veneer Cement + абатмент.
Мал. 14: Тимчасова реставрація на імпланті.
Мал. 15: Стан ясен через тиждень.
Мал. 16: Зняття зліпка за один крок за допомогою індивідуального трансферу на абатменті імплантату.
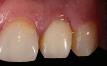
Мал. 17: Зображення отримано в поляризованому світлі для отримання деталей кольору.
Мал. 18: Остаточна коронка для абатмента імплантату, доставлена з лабораторії.
Мал. 19: Адгезивна фіксація з 3M™ Single Bond Universal + RelyX™ Ultimate.
Мал. 20: Видалення надлишків цементу та фотополимеризація.
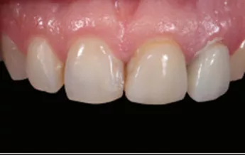
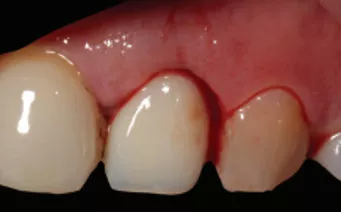
Мал. 21: Остаточний вигляд реставрації

 


Висновок

Комбінація цифрових технологій, якісних матеріалів від Solventum, правильного планування і досвіду лікаря дозволили досягти естетичного, функціонального і довготривалого результату.


Замовити  матеріали від Solventum Protemp™,  Soft Monophase , Impregum, RelyX™ Veneer CementSingle Bond Universal,  RelyX™ Ultimate  можна в мережі магазинів компанії Укр-Медмаркет.